CHÚC MỪNG ĐẠI HỘI ĐẠI BIỂU ĐẢNG BỘ TỈNH ĐỒNG NAI LẦN THỨ I NHIỆM KỲ 2025-2030 THÀNH CÔNG TỐT ĐẸP

Phẫu thuật kết hợp xương cho bệnh nhân bị gãy xương do tai nạn giao thông

Thứ sáu - 23/02/2024 15:13
  • Xem với cỡ chữ 
  •  
  •  
  •  
(CTT-Đồng Nai) - BS CKII Lưu Văn Tường, Giám đốc Trung tâm Y tế huyện Cẩm Mỹ cho biết, bệnh viện vừa thực hiện thành công ca phẫu thuật kết hợp xương cho bệnh nhân N.H.N., ngụ H.Long Thành, bị tai nạn giao thông.
 
 
  
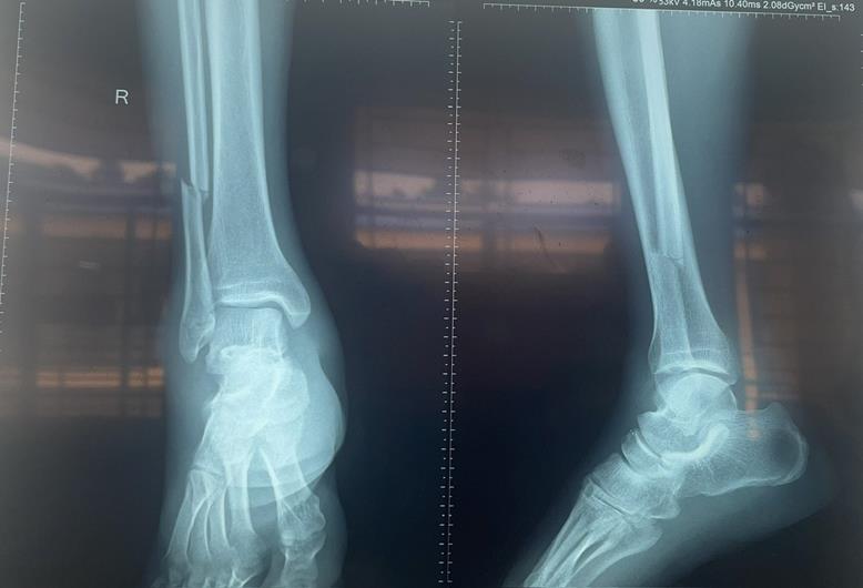
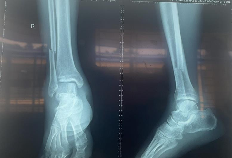
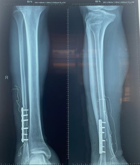
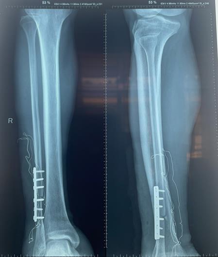
Hình ảnh chụp X-Quang chân phải của bệnh nhân trước (ảnh 1) và sau phẫu thuật kết hợp xương (ảnh 2)
Hình ảnh chụp X-Quang chân phải của bệnh nhân trước (ảnh 1) và sau phẫu thuật kết hợp xương (ảnh 2)

Bệnh nhân nhập viện trong tình trạng sưng đau cẳng chân phải và hạn chế vận động ở cổ chân phải. Sau thăm khám và thực hiện chụp X-Quang, bệnh nhân được chẩn đoán bị gãy xương mác bên phải và được chỉ định phẫu thuật kết hợp xương.

Các bác sĩ chuyên khoa chấn thương chỉnh hình của Trung tâm đã phối hợp với các bác sĩ chuyên khoa gây mê hồi sức để thực hiện ca phẫu thuật kết hợp xương. Sau phẫu thuật, vùng cẳng chân phải của bệnh nhân đã vận động được. Đến nay, bệnh nhân đã được xuất viện.

Theo BS Tường, thời gian qua, Trung tâm Y tế huyện Cẩm Mỹ đã triển khai được nhiều kỹ thuật ngoại khoa, điều trị thành công cho nhiều bệnh nhân bị tai nạn giao thông, chấn thương nguy hiểm.

Khi chẳng may bị tai nạn giao thông, tai nạn lao động dẫn tới gãy xương, người dân cần nhanh chóng được đưa đến các cơ sở y tế để được điều trị kịp thời, đúng cách, tránh xảy ra những biến chứng như nhiễm trùng, viêm xương tủy, liệt thần kinh, can xương lệch, chậm liền xương, khớp giả, teo cơ cứng khớp,... dẫn tới tàn phế.

Tác giả: Bảo Ngọc

Tổng số điểm của bài viết là: 0 trong 0 đánh giá

Click để đánh giá bài viết

Những tin mới hơn

Những tin cũ hơn

Bạn đã không sử dụng Site, Bấm vào đây để duy trì trạng thái đăng nhập. Thời gian chờ: 60 giây